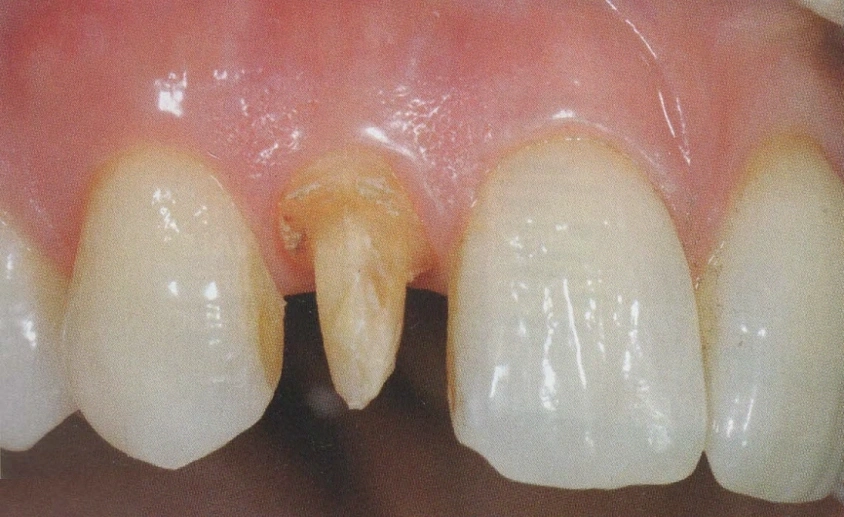
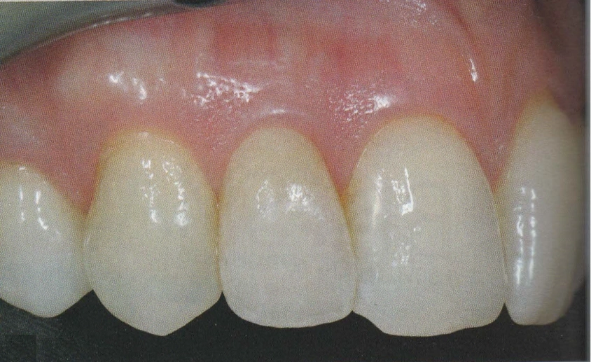
CERAMICHE SU IMPIANTI

Per l'esecuzione delle impronte vengono usati materiali di prima qualità perchè la precisione delle impronte facilita la costruzione del manufatto e questo è un passaggio fondamentale per la buona riuscita della protesi.

In questo studio vengono eseguite ceramiche di ultima generazione quali la zirconia ceramizzata, le ceramiche estetiche in disilicato senza trascurare le tradizionali metalceramiche. Il disilicato è un materiale altamente estestico che conferisce alla corona protesica un aspetto naturale e con questo materiale si possono creare manufatti con uno spessore molto ridotto.


Cosa dicono di noi ...      Leggi le recensioni